القطيف.. إنقاذ حياة مقيم من استسقاء دماغي حاد بتقنية المنظار الجراحي
في إنجاز طبي، نجح فريق قسم جراحة المخ والأعصاب بمستشفى القطيف المركزي في إنقاذ حياة مقيم يبلغ من العمر 31 عامًا، كان يعاني من استسقاء دماغي حاد.
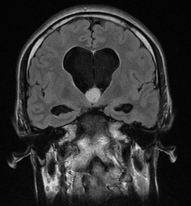
تم تنفيذ العملية النوعية باستخدام المنظار الجراحي لاستئصال كيس غرواني عميق، مما أعاد الأمل للمريض الذي كان يعاني من صداع شديد وقيء متكرر لأكثر من شهر.
بعد تشخيص دقيق للحالة، قرر الفريق الطبي التدخل الجراحي العاجل. استغرقت العملية أقل من ساعتين، وتكللت بالنجاح التام، حيث تماثل المريض للشفاء واستعاد وعيه الكامل في وقت قصير.
وأكدت الأشعة بعد العملية استئصال الكيس بشكل كامل، وعدم وجود أي نزيف أو مضاعفات، مع تحسن ملحوظ في حالة الاستسقاء الدماغي.
وتعد تقنية المنظار الجراحي المستخدمة في هذه العملية من أحدث الطرق العالمية لعلاج هذا النوع من الأكياس، وتتميز بتسريع عملية الشفاء وتقليل المضاعفات مقارنة بالجراحة التقليدية.
والكيس الغرواني عبارة عن كيس يحوي مادة جلاتينية في موقع حساس حيث يسد مجرى تصريف السائل الدماغي في الدماغ، مما يسبب الاستسقاء الدماغي وارتفاع ضغط الدماغ، وقد يتسبب بالوفاة المفاجئة لا سمح الله في نسبة 3 - 35% في بعض التقارير الطبية.
وأشرف على العملية الدكتور عبدالله حسين الرمضان، رئيس قسم جراحة المخ والأعصاب واستشاري جراحة المخ والأعصاب، بمشاركة الدكتور راكان عزام أخصائي جراحة المخ والأعصاب، وفريق التخدير بقيادة الدكتورة منال أبو السعود، وبمشاركة كل من د. فاطمه الصلبوخ ود. عفاف الفرج وفني التخدير عمر الجالوق.
كما ساهم الجراحان عبدالله الجفال ومحمد المهنا في إنجاح العملية، بالإضافة إلى دور عيسى النصير ورضا السلمان في توفير المعدات اللازمة.
يعد هذا الإنجاز الطبي إضافة جديدة لسلسلة العمليات النوعية التي يقدمها قسم جراحة المخ والأعصاب والعمود الفقري بمستشفى القطيف المركزي، والذي يضم كفاءات طبية متميزة تسعى لتقديم أفضل رعاية صحية للمرضى.
















